Pulmonary - Ultrasound Findings in Pulmonary Contusion

← Back to List

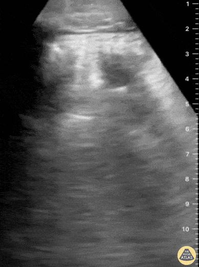
Pulmonary - Ultrasound Findings in Pulmonary Contusion

Caption

In this patient with history of blunt chest trauma, lung ultrasound reveals a focal area of B-lines as well as a hypoechoic wedge shaped subpleural consolidation. These findings are consistent with pulmonary contusion and can be identified early in the course of a patient’s care. This contrasts with hours-to-short-days that it often takes to fully appreciate the evolution of pulmonary contusion on chest X-ray. Aaron Inouye, PA-C, North Canyon Medical Center @PAintheED

Source

https://www.thepocusatlas.com/lung


Metadata