Pulmonary - Decreased Lung Slide - Pneumothorax

← Back to List

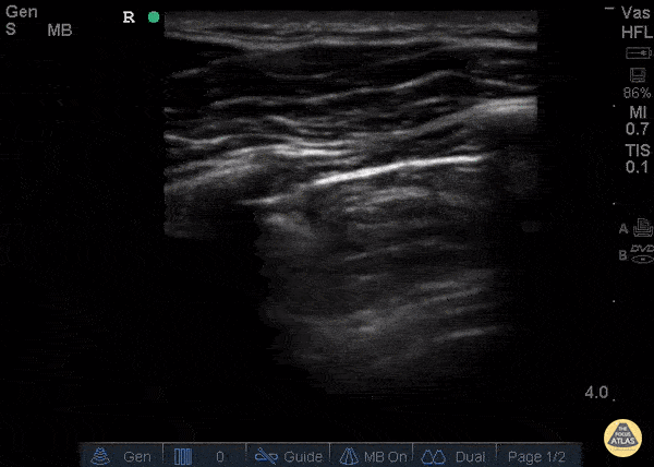
Pulmonary - Decreased Lung Slide - Pneumothorax

Caption

26 yo male presents to ED stating he was kicked in the chest. He went home to “try to relax and smoke some weed” now short of breath and with pleuritic chest pain after smoking. POCUS demonstrating decreased lung slide on the left. What are the signs of pneumothorax on ultrasound? Decreased lung sliding - In normal lungs, lung sliding refers to the parietal pleura moving against the visceral pleura - described as “ants marching.” Lack of B-lines or comet tails – These artifacts will not be present if there is a pneumothorax and the presence of B-lines or comet tails can rule out a pneumothorax. No Lung pulse – the visceral pleura moving along a stationary parietal pleura due to cardiac motion when lung sliding is not present. These are so called “T lines” on M-mode. These signify that the parietal and visceral pleura are opposing one another and therefore that there is no pneumothorax Lung point – 100% specific for pneumothorax, this is the cutoff point above which you can appreciate the lung sliding and below which there is no lung sliding. The lung point is the pneumothorax border. Dr. Stacey Frisch, Dr. John F Kilpatrick - Kings County Emergency Medicine

Source

https://www.thepocusatlas.com/lung


Metadata