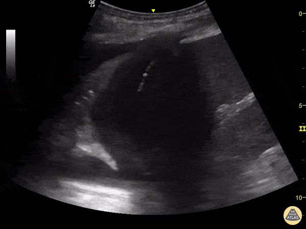
Pulmonary - Jellyfish Sign

← Back to List

Pulmonary - Jellyfish Sign

Caption

This a PLAPS-point view located slightly above the diaphragm. This window is a key component of lung ultrasound evaluation for pleural effusion. This image reveals what is know as "Jellyfish Sign,” or consolidated lung floating in anechoic fluid (pleural effusion). Also note the static air bronchograms within the lung parenchyma. Renato Tambelli, Emergency Physician from Emergency Department of Marilia Clinics Hospital - Sao Paulo/ Brazil @R_Tambelli

Source

https://www.thepocusatlas.com/lung


Metadata