Pulmonary - PLAPS pneumonia

← Back to List

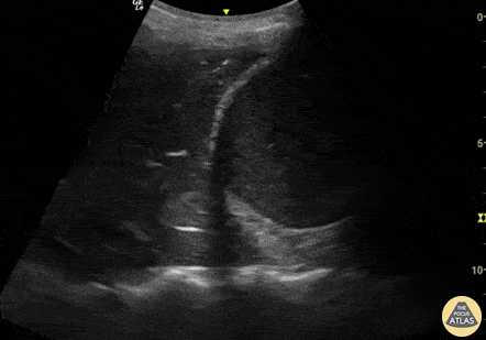
Pulmonary - PLAPS pneumonia

Caption

This is a lung ultrasound image in PLAPS view in which we appreciate a consolidation pattern including dynamic air bronchograms as well as a small pleural effusion. The PLAPS view with these findings is a highly sensitivity and specificity for the diagnosis of pneumonia. Renato Tambelli, Emergency Physician Hospital das Clínicas de Marília @R_Tambelli

Source

https://www.thepocusatlas.com/lung


Metadata