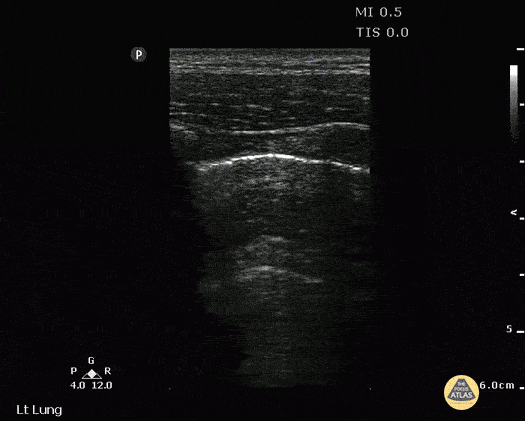
Pulmonary - Double Lung Point Seen in Pneumothorax

← Back to List

Pulmonary - Double Lung Point Seen in Pneumothorax

Caption

A young male presented to ED with stab wound to chest. Upright CXR was normal. POCUS showed double lung point indicative of small PTX. This was monitored without evidence of progression. No intervention was required. Image courtesy of Robert Jones DO, FACEP @RJonesSonoEM Director, Emergency Ultrasound; MetroHealth Medical Center; Professor, Case Western Reserve Medical School, Cleveland, OH View his original post here

Source

https://www.thepocusatlas.com/lung


Metadata