Bowel-GI - Ascites in Pregnancy

← Back to List

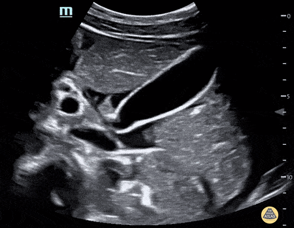
Bowel-GI - Ascites in Pregnancy

Caption

22 year old G3P2 female presented to the ER, 18 weeks pregnant, with central abdominal pain with radiation to her back. She was found to have large volume ascites of unknown etiology on US. She was admitted to the hospital and underwent paracentesis. A reminder to keep a broad differential for abdominal pain, even if the patient is pregnant. Michael Cannova, DO; Mara McMurray, DO

Source

https://www.thepocusatlas.com/bowel


Metadata