Pulmonary - A - Lines - Normal Lung

← Back to List

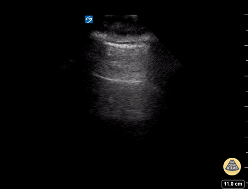
Pulmonary - A - Lines - Normal Lung

Caption

A lines appear as horizontal lines that represent normal aerated lung (dry interlobular septa). They are a reverberation artifact caused by the sound waves bouncing off the highly echogenic pleura and back to the probe, and repeating. Hannah Kopinski (MS4) and Dr. Lindsay Davis - NYU Emergency Medicine, Matthew Riscinti - Kings County Emergency Medicine

Source

https://www.thepocusatlas.com/lung


Metadata