Pulmonary - Dynamic Air Bronchograms

← Back to List

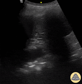
Pulmonary - Dynamic Air Bronchograms

Caption

Pictured here are dynamic air bronchograms in a patient with bacterial pneumonia. Image was acquired using convex probe on the left PLAPS. Renato Melo, PocusJedi co-founder, Emergency Physician HC MarĂ­lia-SP, Brazil. @Renato_Melo_

Source

https://www.thepocusatlas.com/lung


Metadata