Pulmonary - Unexpected Jellyfish

← Back to List

Pulmonary - Unexpected Jellyfish

Caption

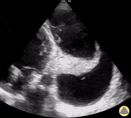
Seen here is an unexpected finding while acquiring an apical 4 chamber view with a phased array probe. The four chambers of the heart are difficult to bring into view due to the presence of large left pleural effusion with ipsilateral collapsed lung floating within the pleural fluid. This visual of atelectatic lung swimming within a pleural effusion is referred to as “jellyfish sign”. Renato Tambelli, Emergency Physician Hospital das Clínicas de Marília, Brazil. @R_Tambelli // @JediPocus

Source

https://www.thepocusatlas.com/lung


Metadata