Pulmonary - Pnuemonia-Thickened Pleura

← Back to List

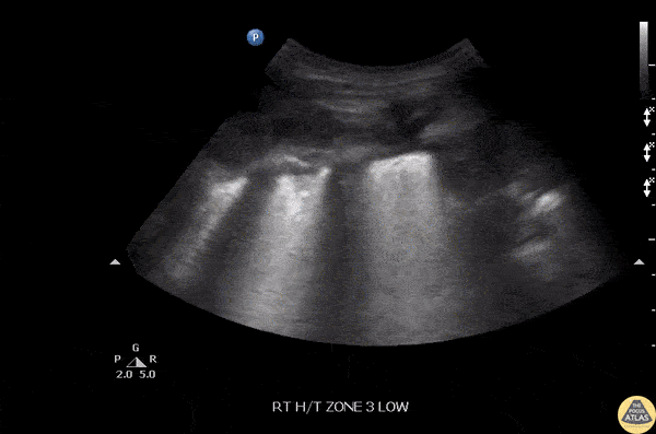
Pulmonary - Pnuemonia-Thickened Pleura

Caption

Increased thickness of the pleura with diffuse B-lines can be seen in this patient with pneumonia. Image courtesy of Robert Jones DO, FACEP @RJonesSonoEM Director, Emergency Ultrasound; MetroHealth Medical Center; Professor, Case Western Reserve Medical School, Cleveland, OH View his original post here

Source

https://www.thepocusatlas.com/lung


Metadata