Pulmonary - Pneumonia-Shred Sign

← Back to List

Pulmonary - Pneumonia-Shred Sign

Caption

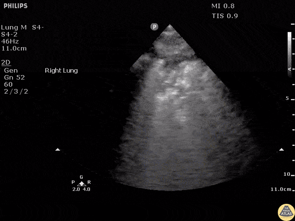
The shred sign is a sign of consolidation in the lung that appears as subpleural hypoechoic areas with an irregular “shredded” border. Image courtesy of Robert Jones DO, FACEP @RJonesSonoEM Director, Emergency Ultrasound; MetroHealth Medical Center; Professor, Case Western Reserve Medical School, Cleveland, OH View his original post here

Source

https://www.thepocusatlas.com/lung


Metadata