Pulmonary - Pneumonia-Parapneumonic Effusion

← Back to List

Pulmonary - Pneumonia-Parapneumonic Effusion

Caption

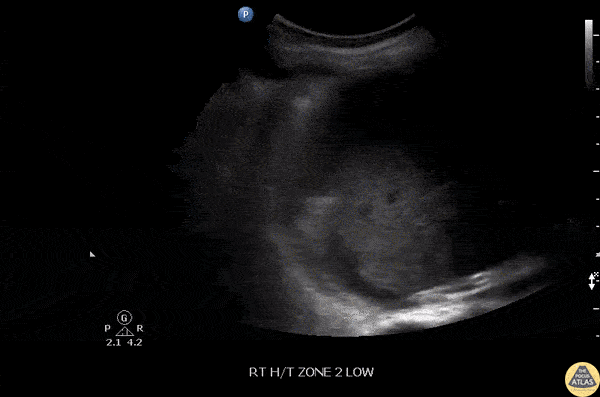
Small right anechoic parapneumonic effusion. Note B-lines seen at lung base. Curvilinear probe used. More commonly seen in bacterial pneumonia. Image courtesy of Robert Jones DO, FACEP @RJonesSonoEM Director, Emergency Ultrasound; MetroHealth Medical Center; Professor, Case Western Reserve Medical School, Cleveland, OH View his original post here

Source

https://www.thepocusatlas.com/lung


Metadata