Pulmonary - Pneumonia-Parapneumonic Effusion

← Back to List

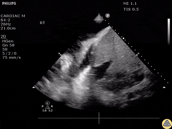
Pulmonary - Pneumonia-Parapneumonic Effusion

Caption

Large echogenic right parapneumonic effusion in patient with bacterial pneumonia/sepsis. Phased array probe used. Image courtesy of Robert Jones DO, FACEP @RJonesSonoEM Director, Emergency Ultrasound; MetroHealth Medical Center; Professor, Case Western Reserve Medical School, Cleveland, OH View his original post here

Source

https://www.thepocusatlas.com/lung


Metadata