Pulmonary - Normal Lung Sliding

← Back to List

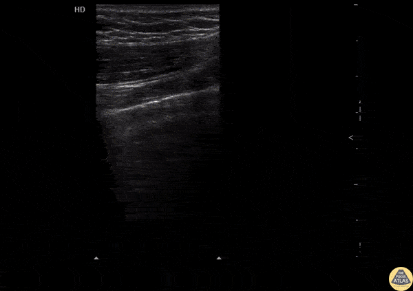
Pulmonary - Normal Lung Sliding

Caption

Normal lung sliding with regular appearing pleural lining. Image courtesy of Robert Jones DO, FACEP @RJonesSonoEM Director, Emergency Ultrasound; MetroHealth Medical Center; Professor, Case Western Reserve Medical School, Cleveland, OH View his original post here

Source

https://www.thepocusatlas.com/lung


Metadata