Pulmonary - Lung Re-expansion

← Back to List

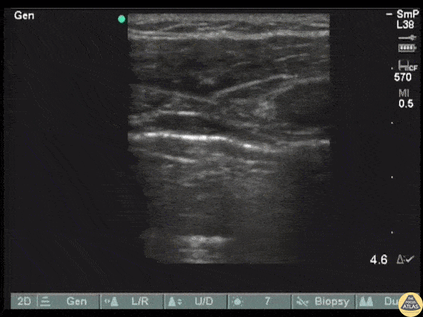
Pulmonary - Lung Re-expansion

Caption

POCUS reveals the return of lung sliding following insertion of a chest tube for pneumothorax. Image courtesy of Robert Jones DO, FACEP @RJonesSonoEM Director, Emergency Ultrasound; MetroHealth Medical Center; Professor, Case Western Reserve Medical School, Cleveland, OH View his original post here

Source

https://www.thepocusatlas.com/lung


Metadata