Bowel-GI - Tanga Sign (SBO)

← Back to List

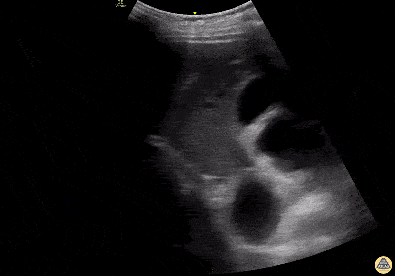
Bowel-GI - Tanga Sign (SBO)

Caption

Dilated loops of small bowel with free fluid adjacent to them (Tanga sign), CT confirmed SBO. Dimitri Livshits DO, Ultrasound Fellow; Jane Belyavskaya MD, Ultrasound Fellow; Chris Hanuscin MD, Ultrasound Division Director (Kings County/SUNY Downstate)

Source

https://www.thepocusatlas.com/bowel


Metadata