Pulmonary - Pneumothorax with Lung Point

← Back to List

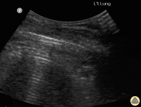
Pulmonary - Pneumothorax with Lung Point

Caption

A patient presented with spontaneous pneumothorax; lung point identified on POCUS. ChunYi Tsai, @jerry1231213

Source

https://www.thepocusatlas.com/lung


Metadata