Pulmonary - Large Pleural Effusion
Caption
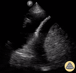
Patient presented to the emergency room reporting dyspnea. POCUS revealed presence of severe ascites and pleural effusion. Reyna Huerta Sanchez, MD @DraHuerta09
Patient presented to the emergency room reporting dyspnea. POCUS revealed presence of severe ascites and pleural effusion. Reyna Huerta Sanchez, MD @DraHuerta09