Pulmonary - No Lung Sliding
Caption
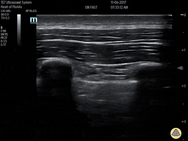
This image demonstrates lack of lung sliding which is a finding that can be seen in a pneumothorax. Francisco Norman
This image demonstrates lack of lung sliding which is a finding that can be seen in a pneumothorax. Francisco Norman