Pulmonary - Pericardial & Pleural Effusions

← Back to List

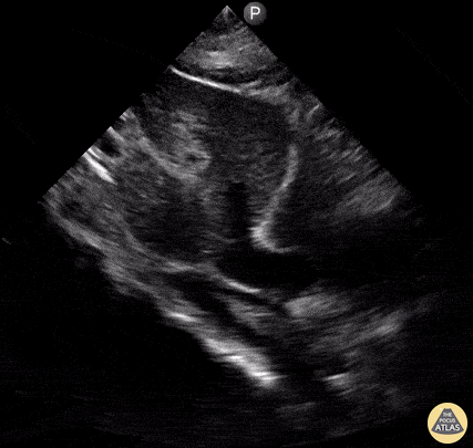
Pulmonary - Pericardial & Pleural Effusions

Caption

Seen here is a subxiphoid view taken from a patient admitted with symptoms of acutely decompensated heart failure. You can appreciate both a small pericardial effusion as well as a more noticeable pleural effusion. Reyna Huerta Sánchez, MD @DraHuerta09

Source

https://www.thepocusatlas.com/lung


Metadata