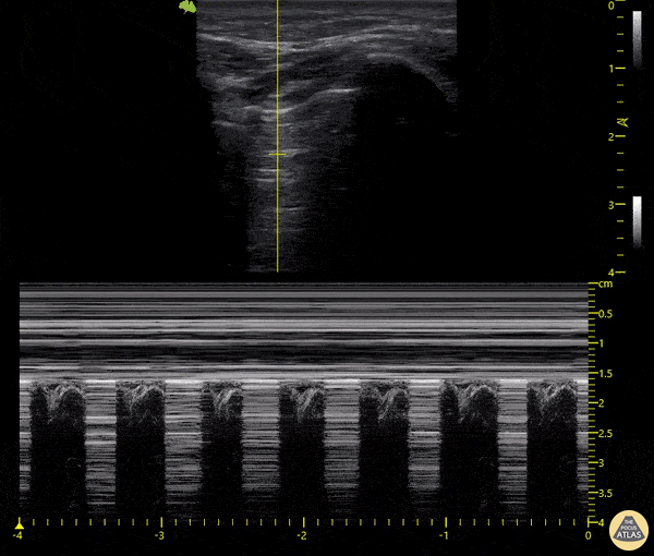
Pulmonary - Lung Point

← Back to List

Pulmonary - Lung Point

Caption

18-year-old patient who presented following a motorcycle accident in which he sustained closed chest trauma with bilateral hemopneumothoraces. In this sequence taken with a linear transducer in left pulmonary zone 1, the "pulmonary point" indicative of pneumothorax can be seen. Libardo Valencia Chicue

Source

https://www.thepocusatlas.com/lung


Metadata