Pulmonary - Pneumonia

← Back to List

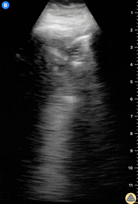
Pulmonary - Pneumonia

Caption

A 22-year-old patient without a medical background presents to the ED with a 2-day history of left costal stabbing pain. There was no shortness of breath nor fever and barely any respiratory symptoms. Lung ultrasound revealed a thick, interrupted pleural line and a mobile, hypoechoic structure with irregular edges compatible with a consolidation. Covid PCR was negative. Dr. Felipe Urriola P.

Source

https://www.thepocusatlas.com/lung


Metadata