Pulmonary - PLAPS consolidation

← Back to List

Pulmonary - PLAPS consolidation

Caption

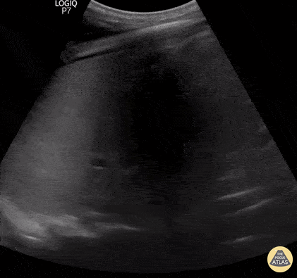
23 yo male, comes to Emergency Department with cough, fever and dyspnea. Lung Ultrasound in the right PLAPS point show this beautiful image: a large consolided lung with dynamic air bronchograms - numerous tortuous hyperechoic opacities that move with the respiratory cycle. This finding has a specificity of 94% and a positive predictive value of 97% for pneumonia as the cause of the consolidation. Renato Tambelli @JediPocus @R_Tambelli

Source

https://www.thepocusatlas.com/lung


Metadata