Pulmonary - Lung Consolidation from Bronchial Obstruction

← Back to List

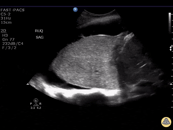
Pulmonary - Lung Consolidation from Bronchial Obstruction

Caption

This is an image demonstrating dense lung consolidation with surrounding pleural effusion. Patient ultimately was diagnosed with bronchogenic CA with complete bronchial obstruction. Image courtesy of Robert Jones DO, FACEP @RJonesSonoEM Director, Emergency Ultrasound; MetroHealth Medical Center; Professor, Case Western Reserve Medical School, Cleveland, OH View his original post here

Source

https://www.thepocusatlas.com/lung


Metadata