Pulmonary - Color Doppler of Consolidation in Pneumonia

← Back to List

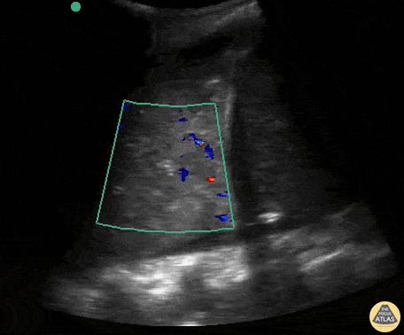
Pulmonary - Color Doppler of Consolidation in Pneumonia

Caption

Massive lobar consolidation showing pulsatile flow on color doppler, befitting pneumonia. Contributor: Rafael Intensivanaveia

Source

https://www.thepocusatlas.com/lung


Metadata