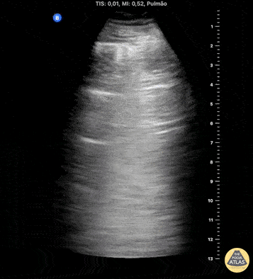
Pulmonary - Lung Point in Iatrogenic Pneumothorax

← Back to List

Pulmonary - Lung Point in Iatrogenic Pneumothorax

Caption

Lung ultrasound in the right apical region after puncture attempt for central venous access. The image demonstrates a LUNG POINT, a specific sign of a pneumothorax. Contributed by: Breno Moura

Source

https://www.thepocusatlas.com/lung


Metadata