Pulmonary - Pleural Effusion with Compressed Lung and Spine Sign

← Back to List

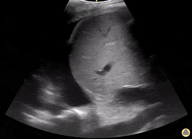
Pulmonary - Pleural Effusion with Compressed Lung and Spine Sign

Caption

Pleural effusion with compressed lung and positive spine sign Contributed by: Dimitri Livshits DO, Ultrasound Fellow; Jane Belyavskaya MD, Ultrasound Fellow; Chris Hanuscin MD, Ultrasound Division Director (Kings County/SUNY Downstate)

Source

https://www.thepocusatlas.com/lung


Metadata