Pulmonary - Large pleural effusion with hiatal hernia

← Back to List

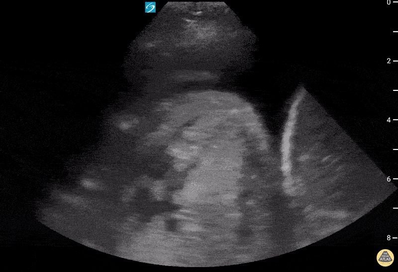
Pulmonary - Large pleural effusion with hiatal hernia

Caption

72 year old with past medical history of hiatal hernia presenting to the ED with new onset shortness of breath requiring rescue BPAP. She was diagnosed and treated with CHF exacerbation. Lung ultrasound showed a large pleural effusion with uncertain mass-like object with heterogenous fluid contents on the right (shown here), along with dense B-lines. Correlation with prior CT suggested that the structure on the right chest was a large hiatal hernia. Contributed by: William McGill, PA-C

Source

https://www.thepocusatlas.com/lung


Metadata