Pulmonary - Lung Point Finding

← Back to List

Pulmonary - Lung Point Finding

Caption

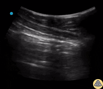
Lung point is a pathognomonic finding on US for pneumothorax. It refers to the junction between healthy lung and collapsed lung. This is represented in the US recording as lung sliding seen on the left of the pleural line but no lung sliding seen on the right of the pleural line. Contributors: Dimitri Livshits, DO; Jane Belyavskaya, MD; Chris Hanuscin, MD Kings County/SUNY Downstate

Source

https://www.thepocusatlas.com/lung


Metadata