Pulmonary - Lung Cavitary Lesion

← Back to List

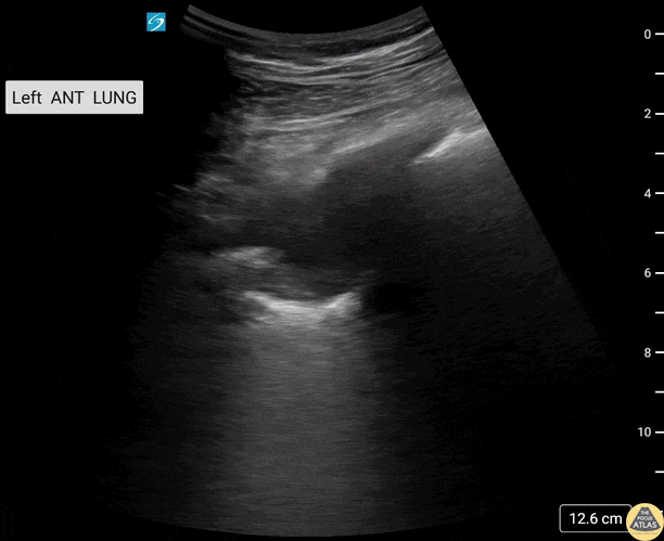
Pulmonary - Lung Cavitary Lesion

Caption

HIV+ male patient presents with cough and shortness of breath. Thoracic US demonstrated a left upper lobe cavitary lesion with calcifications. Differentials included TB, aspergilloma, lung abscess. Contributors: Sara Schambach, MD; Garrett Mason, MD

Source

https://www.thepocusatlas.com/lung


Metadata