Soft Tissue - Tonsillar Abscess

← Back to List

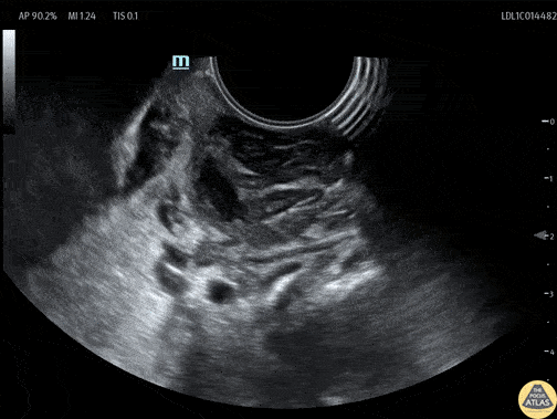
Soft Tissue - Tonsillar Abscess

Caption

A teenaged female presented with sore throat and was noted to have asymmetric tonsillar edema on physical exam. POCUS was performed using an endocavitary probe intraorally. The findings are shown here, with edema of the tonsil and a small circumscribed area of hypoechoic fluid which has no color doppler signal. This indicates tonsillitis with a small tonsillar abscess. Given this patient’s physical exam and small size of the abscess, conservative management was recommended with oral antibiotics without incision and drainage in the ED. Dr. Cailin Frank, Fellow, Denver Health Ultrasound Fellowship

Source

https://www.thepocusatlas.com/softtissuemsk


Metadata