Bowel-GI - Free Fluid at Liver Tip

← Back to List

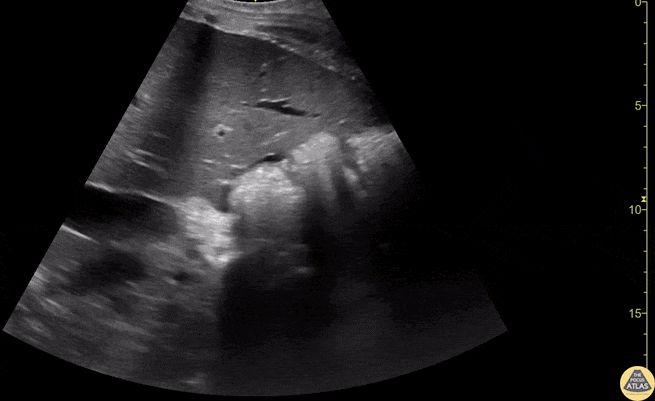
Bowel-GI - Free Fluid at Liver Tip

Caption

Free fluid demonstrated at the liver tip in a patient with ascites. The liver tip is the most sensitive part of the RUQ for free fluid. In the context of blunt trauma this would be concerning for bleeding. Contributors: Dimitri Livshits, DO; Jane Belyavskaya, MD; Chris Hanuscin, MD Kings County/SUNY Downstate

Source

https://www.thepocusatlas.com/bowel


Metadata