Soft Tissue - Peritonsillar Abscess with Posterior Color Flow

← Back to List

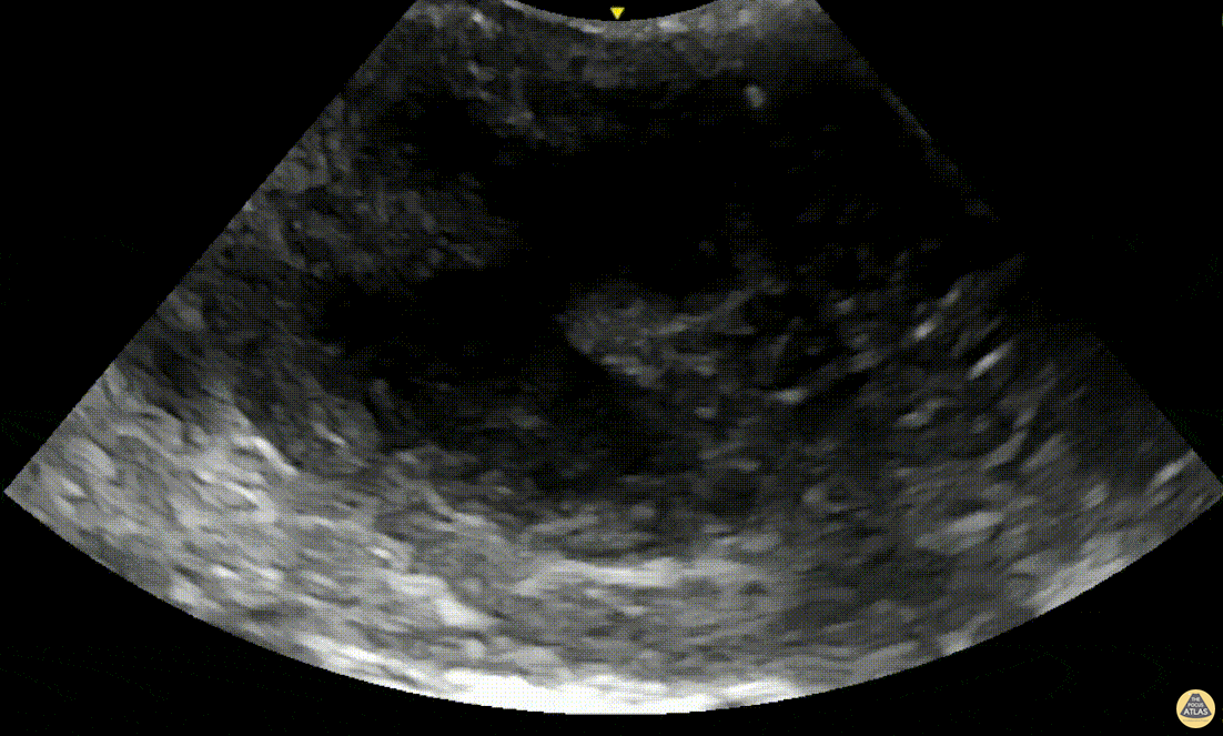
Soft Tissue - Peritonsillar Abscess with Posterior Color Flow

Caption

A 24-year-old male presented to the ED with 3 days of fever, headache and sore throat. On exam he was noted to have oropharyngeal erythema with a fluctuant area in the left peritonsillar region. A POCUS was performed of the area using an endocavitary probe, revealing clear circumscribed hypoechoic region without internal color flow. Aspiration of the PTA was performed with moderate purulent drainage. Dr. Elizabeth Hanson, Denver Health Emergency Medicine Alexandra Netto, PA, Denver Health Emergency Department

Source

https://www.thepocusatlas.com/softtissuemsk


Metadata