Soft Tissue - Peritonsillar Abscess

← Back to List

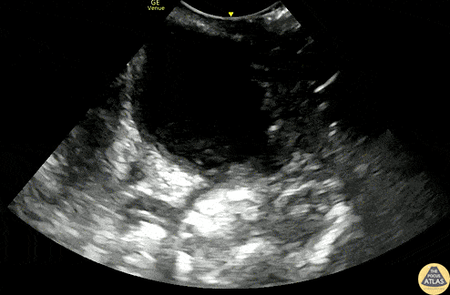
Soft Tissue - Peritonsillar Abscess

Caption

A 20s F with PMH of prior peritonsillar abscess presented with about 1.5 weeks of sore throat, and had been maintained on oral antibiotics with no improvement. Her PCP identified a PTA on clinical exam and referred her to the ED for drainage. This US clip demonstrates the peritonsillar abscess, with an area of hypoechoic, heterogeneous fluid. Posteriorly (far field or bottom of image), the carotid artery is seen pulsating. US in preparation for PTA I&D is particularly helpful in determining the size of the abscess and location of the carotid artery, allowing proper measurement of the plastic guard on the aspiration needle, to prevent inadvertently deep puncture. Dr. Michael Heffler, PGY3 Denver Health Residency in Emergency Medicine

Source

https://www.thepocusatlas.com/softtissuemsk


Metadata