Soft Tissue - Group A Strep Necrotizing Fasciitis

← Back to List

Soft Tissue - Group A Strep Necrotizing Fasciitis

Caption

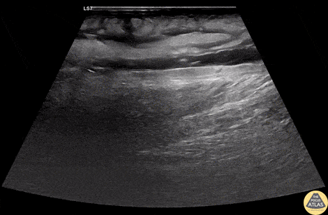
A 60s M with multiple medical co-morbidities including type 2 diabetes mellitus with multiple prior toe amputations, CHF, COPD and chronic alcohol abuse presented with rapidly worsening leg pain after minor trauma the day prior to presentation. He was in significant pain and had a warm, red, and edematous lower extremity with a focal wound overlying the anterior lower leg. He was febrile and tachycardic, but normotensive. He was resuscitated and given broad spectrum antibiotics and rapid surgical consultation was obtained. POCUS of the affected area was performed and is shown here. In these longitudinal views of the affected area, cobblestoning is seen superficially, indicating cellulitis. Fluid is also seen tracking more deeply along the fascial planes, just superficial to the muscle. This patient was taken emergently to the OR where debridement confirmed necrotizing fasciitis without involvement of the underlying muscles. The patient was kept in the surgical ICU for further resuscitation, his blood cultures and tissue culture became positive for Group A Strep pyogenes, and he underwent multiple subsequent debridements for further management. Dr. Phil Breslow, PGY2 and Dr. Anna Engeln Denver Health Residency in Emergency Medicine

Source

https://www.thepocusatlas.com/softtissuemsk


Metadata