Soft Tissue - Atypical Abscess

← Back to List

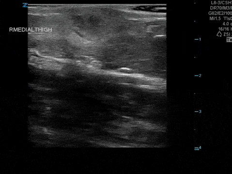
Soft Tissue - Atypical Abscess

Caption

The image above demonstrates a well circumscribed fluid collection within the soft tissue, without evidence of surrounding cellulitis. The above abscess was incised with immediate release of a large volume of purulent material. The patient did well.

Source

https://www.thepocusatlas.com/softtissuemsk


Metadata