Soft Tissue - Peritonsillar Abscess

← Back to List

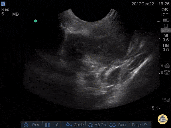
Soft Tissue - Peritonsillar Abscess

Caption

This is an example of a peritonsillar abscess as seen with a high-frequency endocavitary probe. About 3ml of pus was drained with significant relief. Notice that just deep to the abscess is big red. It's not always lateral! Dr. Jason Tanguay

Source

https://www.thepocusatlas.com/softtissuemsk


Metadata