Soft Tissue - Compression for Abscess Identification

← Back to List

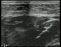
Soft Tissue - Compression for Abscess Identification

Caption

While typically an abscess will appear as a hypoechoic fluid filled structure, sometimes it can be missed as its echotexture is similar to other surrounding soft tissue structures. To improve sensitivity, gentle compression should be applied to identify a subtle abscess as seen above. Image obtained from Ultrasound of the Week.

Source

https://www.thepocusatlas.com/softtissuemsk


Metadata