Bowel-GI - Taenia Saginata

← Back to List

Bowel-GI - Taenia Saginata

Caption

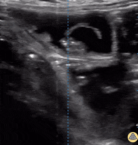
Fatigue for the past 3–4 months with mild disturbance of bowel habits. The patient reported visualizing proglottids in the stool. POCUS findings: Ultrasound performed in the left lower quadrant revealed a structure consistent with parasitic segments. Diagnosis: Laboratory confirmation a few days later identified Taenia saginata. Dr. Guillaume Schramme

Source

https://www.thepocusatlas.com/bowel


Metadata