Soft Tissue - Image-Guided Needle Aspiration
Caption
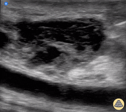
Needle aspiration of a fluid collection superficial to a femoropopliteal bypass. Wolfgang Geisser, @fentanyl05 Bayern, Deutschland
Needle aspiration of a fluid collection superficial to a femoropopliteal bypass. Wolfgang Geisser, @fentanyl05 Bayern, Deutschland