Soft Tissue - Epidermoid Cyst

← Back to List

Soft Tissue - Epidermoid Cyst

Caption

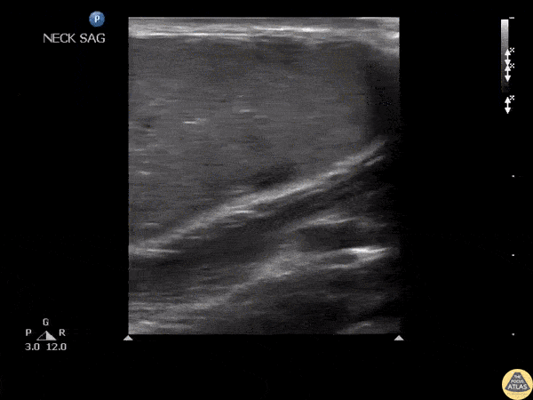
An adult male presented to the ED with a tender mass on his neck with overlying erythema. Ultrasound revealed an epidermoid cyst characterized by the pseudo-testis appearance of the cyst. Image courtesy of Robert Jones DO, FACEP @RJonesSonoEM Director, Emergency Ultrasound; MetroHealth Medical Center; Professor, Case Western Reserve Medical School, Cleveland, OH Original Twitter Post can be found here.

Source

https://www.thepocusatlas.com/softtissuemsk


Metadata