Soft Tissue - Foreign Body: BB within Hand

← Back to List

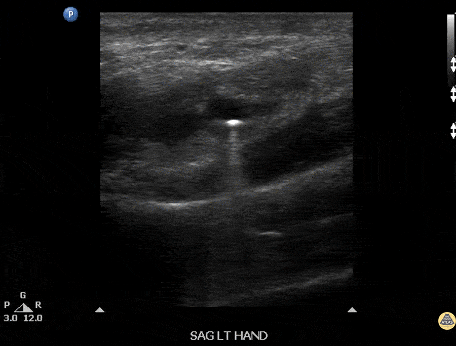
Soft Tissue - Foreign Body: BB within Hand

Caption

Ultrasound image of a BB lodged within a patient’s hand. Note the comet-tail artifact often seen deep to many solid structures. Image courtesy of Robert Jones DO, FACEP @RJonesSonoEM Director, Emergency Ultrasound; MetroHealth Medical Center; Professor, Case Western Reserve Medical School, Cleveland, OH View his original post here

Source

https://www.thepocusatlas.com/softtissuemsk


Metadata