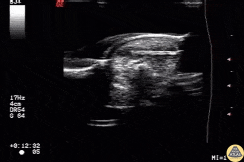
Soft Tissue - Foreign Body: Wooden Splinter

← Back to List

Soft Tissue - Foreign Body: Wooden Splinter

Caption

Wooden splinter located in the fingertip originally diagnosed as felon. Image courtesy of Robert Jones DO, FACEP @RJonesSonoEM Director, Emergency Ultrasound; MetroHealth Medical Center; Professor, Case Western Reserve Medical School, Cleveland, OH View his original post here

Source

https://www.thepocusatlas.com/softtissuemsk


Metadata