Soft Tissue - Large Soft Tissue Abscess

← Back to List

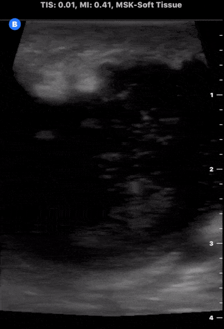
Soft Tissue - Large Soft Tissue Abscess

Caption

This is an example of a large soft tissue abscess. Note the presence of a large well circumscribed fluid collection taking up the screen. Particulate can be seen throughout the fluid collection signifying increased density from purulent material. Michael Macias, MD

Source

https://www.thepocusatlas.com/softtissuemsk


Metadata