Soft Tissue - Cobblestoning in Cellulitis
Caption
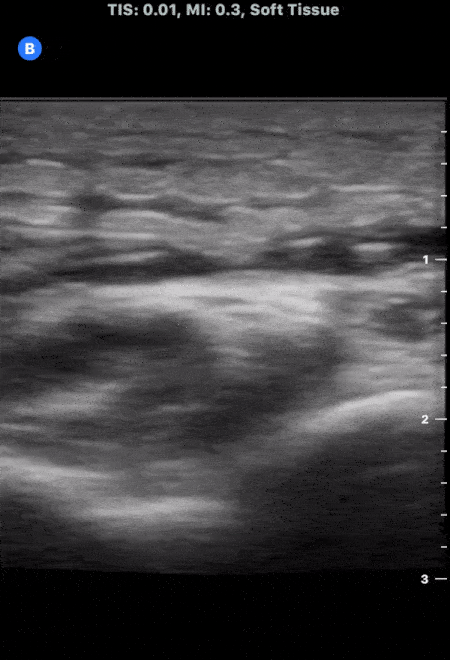
This image demonstrates the common finding of cobblestoning seen in cellulitis. Note the anechoic areas surrounding islands of subcutaneous tissue. Michael Macias, MD
This image demonstrates the common finding of cobblestoning seen in cellulitis. Note the anechoic areas surrounding islands of subcutaneous tissue. Michael Macias, MD