Soft Tissue - Thyroid Inferno

← Back to List

Soft Tissue - Thyroid Inferno

Caption

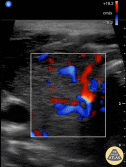
A patient with impending thyroid storm (BWPS score 25), an undetectable TSH level, and a T4- 4.2, had diffusely enlarged goiter. POCUS as shown here revealed hypervascular “thyroid inferno” that occurs in Graves disease, less commonly Hashimoto’s thyroiditis. Shane Solger

Source

https://www.thepocusatlas.com/softtissuemsk


Metadata