Soft Tissue - Foreign Body Flexor Tendon Sheath

← Back to List

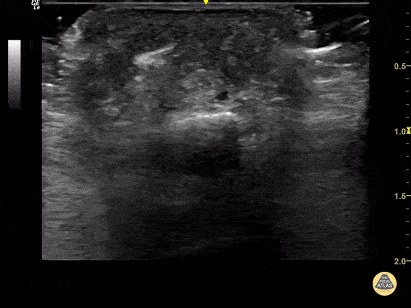
Soft Tissue - Foreign Body Flexor Tendon Sheath

Caption

65 year old female with pain and swelling over 4th phalanx, no history of trauma. Hyperechoic density located above flexor tendon sheath. Patient sent to Ortho for surgical exploration. Dr. Magner

Source

https://www.thepocusatlas.com/softtissuemsk


Metadata