Soft Tissue - Submandibular Gland Fragmentation

← Back to List

Soft Tissue - Submandibular Gland Fragmentation

Caption

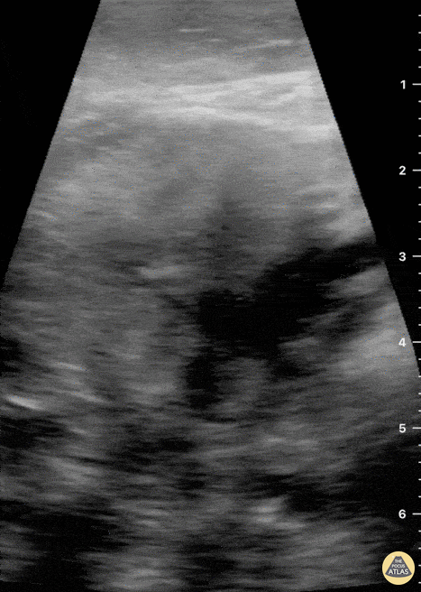
Not your classic Blunt Neck Trauma: Submandibular Gland Fragmentation A closer look to the right submandibular gland reveals a deep end with heterogeneous borders. There is also significant edema and free fluid invading deeper structures. Dr. Felipe Urriola & Dra. Daniela Gallardo. Emergency Unit, Puerto Aysen Hospital. Chilean Patagonia

Source

https://www.thepocusatlas.com/softtissuemsk


Metadata