Soft Tissue - Blunt Neck Trauma (doppler)

← Back to List

Soft Tissue - Blunt Neck Trauma (doppler)

Caption

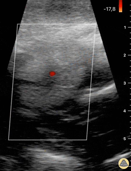
Not your classic Blunt Neck Trauma: Doppler Color doppler shows an absence of flow in the deeper anechoic level and apparent indemnity in the glands vasculature. After the initial assessment, the patient remained hypertensive and tachycardia with HR of 120 bpm. Although there was no obvious worsening of airway status and no respiratory symptoms, the patient was referred to the regional centre for angio CT of the neck. This modality confirmed a right submandibular gland fragmentation with significant adjacent edema extending to the airway. There was airway midline deviation to the left and notable calibre reduction at the level of the hypopharynx. Dr. Felipe Urriola & Dra. Daniela Gallardo Emergency Unit, Puerto Aysen Hospital. Chilean Patagonia

Source

https://www.thepocusatlas.com/softtissuemsk


Metadata