Soft Tissue - Post Stab Wound Cellulitis

← Back to List

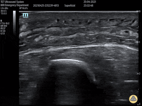
Soft Tissue - Post Stab Wound Cellulitis

Caption

This video shows a young man who presented 3 days after being stabbed to the arm. His wound had been sutured at the time but he had represented with erythema, pain and swelling to his forearm. POCUS showed cobblestoning consisent with cellulitis and excluded abscess and a foreign body. Peter Hulme Twitter: @Dr_Pete_EmMed

Source

https://www.thepocusatlas.com/softtissuemsk


Metadata